
뉴 잡다지식 여러분들 오늘은 잇몸이 내려 앉을 때의 증상, 원인, 치료 방법에 대해 알아보려 합니다. 저도 요즘 40대에 가까워지면서 잇몸을 보게 되면 치아 부분이 예전보다 더 많이 드러나 스트레스를 받곤 합니다. 잇몸이 드러난 부분이 차가운 물에 닿거나 바람에 노출되면 이가 시리기도 하고, 밥을 먹을 때에도 자주 불편함을 느끼게 됩니다. 그래서 여러분께서도 아래의 내용을 통해 잇몸이 내려앉을 때의 원인, 증상, 치료 방법을 확인하시고 도움이 되시길 바랍니다. 그럼 시작해볼까요?
잇몸



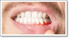
잇몸이 내려앉아 이빨이 보이는 현상을 잇몸퇴축이라고 하며, 이는 치아를 보호하던 잇몸이 점차 내려감에 따라 치아면이 노출되는 것을 의미합니다. 잇몸이 퇴축되면 치아가 노출되고, 이로 인해 치아의 길이가 길어 보이게 되어 입을 벌렸을 때 심미적인 문제가 발생할 수 있습니다. 뿐만 아니라, 치아면이 노출되면 칫솔질이 어려워지고 음식물이 쉽게 끼게 되어 충치가 생길 위험이 높아집니다. 또한, 찬물을 마실 때 이가 시리거나 뜨거운 물을 마실 때 불편함을 느낄 수 있습니다.
잇몸이 내려 앉을 때 원인
잇몸이 내려앉는 원인은 아직 정확히 밝혀지지 않았지만, 여러 가지 요인이 영향을 미칠 수 있다고 합니다. 예를 들어, 칫솔질을 할 때 너무 세게 하거나 딱딱한 칫솔을 사용할 경우 잇몸퇴축이 발생할 수 있습니다. 또한, 평소에 스케일링을 받지 않아 치석이 쌓이거나 잇몸질환이 있는 경우, 치아가 튀어나오거나 일부가 상실된 경우, 유전적으로 잇몸이 약한 경우, 그리고 근육이 잇몸을 잡아당기는 경우 등도 잇몸이 내려앉는 원인으로 작용할 수 있습니다. 그렇기에 이러한 원인등의 의해 잇몸이 내려 앉을 수 있으니 미리미리 예방과 치료를 해야 한다고 하는데요. 아래에서 차례차례 알아보도록 하겠습니다.
잇몸에 좋은 효능 알아보기
잇몸이 내려 앉을 때 및 치료방법 알아보기
1. 칫솔질을 바꿔라.
잇몸이 내려 앉을 때 및 치료방법 첫번째는 칫솔질을 바꿔라 인데요. 잇몸이 내려앉는 것을 예방하고 치료하기 위해서는 올바른 칫솔법이 중요합니다. 과도한 칫솔질은 잇몸에 손상을 줄 수 있으므로, 너무 세게 닦지 않는 것이 좋습니다. 특히 잇몸이 약해진 상태에서 강하게 칫솔질을 하면 상태가 더욱 악화될 수 있습니다. 따라서 잇몸을 보호하고 싶다면, 칫솔질을 할 때 위아래로 부드럽게 닦아주고, 강도는 중간 정도로 조절하여 아프지 않게 살살 닦는 것이 좋습니다. 또한, 칫솔이 너무 뻣뻣하거나 강력한 경우에는 부드러운 칫솔로 교체하는 것이 바람직합니다. 이러한 방법을 통해 잇몸 건강을 유지할 수 있습니다.
2. 치약을 바꿔라.



잇몸이 내려 앉을 때 및 치료방법 두번째는 치약을 바꿔라 인데요. 현재 시중에는 다양한 기능성 치약이 많이 판매되고 있습니다. 치약을 선택할 때는 마모제가 과량 포함된 제품은 피하는 것이 좋습니다. 대신, 잇몸 건강이나 치석 제거에 도움이 되는 기능이 있는 치약을 선택하여 사용하면 잇몸을 보호하는 데 도움이 됩니다. 이러한 치약은 잇몸 염증을 줄이고, 치석 형성을 예방하는 데 효과적일 수 있습니다. 따라서 적절한 치약을 선택하여 꾸준히 사용하면 잇몸 건강을 유지하는 데 큰 도움이 될 것입니다.
3. 스케일링



잇몸이 내려 앉을 때 및 치료방법 세번째는 스케일링 인데요. 치석이 쌓이면 잇몸이 점점 줄어드는 원인이 되며, 이는 잇몸에 염증을 유발하기 때문입니다. 따라서 정기적으로 스케일링을 받는 습관을 기르는 것이 중요합니다. 스케일링은 치과에서 전문적으로 치석을 제거해 주는 과정으로, 이를 통해 잇몸 염증을 줄이고 건강한 잇몸 상태를 유지할 수 있습니다. 정기적인 스케일링을 통해 치석을 예방하고, 잇몸이 줄어드는 현상을 방지할 수 있으므로, 치과 방문을 주기적으로 계획하는 것이 좋습니다.
4. 잇몸 이식치료
잇몸이 내려 앉을 때 및 치료방법 네번째는 잇몸 이식 치료입니다. 이 방법은 치료 후에도 잇몸 상태가 개선되지 않거나 재생되지 않는 경우에 고려할 수 있습니다. 잇몸 이식 치료는 일반적으로 두 가지 방법으로 진행됩니다.
자체 조직 이식: 입천장에서 단단한 잇몸 조직을 채취하여 손상된 부위에 이식하는 방법입니다. 이식된 조직이 새로운 잇몸으로 자리 잡아 건강한 잇몸을 회복하는 데 도움을 줍니다.
인공 잇몸 사용: 경우에 따라 인공 잇몸을 사용하여 잇몸을 대체하는 방법도 있습니다. 이는 자가 조직 이식이 어려운 경우에 선택될 수 있습니다.
잇몸이 심각하게 내려앉아 있는 경우에는 잇몸 이식 치료를 고려하는 것이 좋습니다. 치과 전문의와 상담하여 적절한 치료 방법을 결정하는 것이 중요합니다.
뉴 잡다지식 여러분들 오늘은 잇몸이 내려 앉을 때 및 치료방법 에 대해서 알아보았는데요. 잇몸은 치아를 지지하고 보호하는 중요한 역할을 하며, 건강한 잇몸이 있어야 치아도 건강하게 유지될 수 있습니다. 잇몸 질환은 통증이나 불편함을 초래할 뿐만 아니라, 전반적인 건강에도 영향을 미칠 수 있으므로 정기적인 치과 검진과 올바른 구강 위생 관리가 필요합니다. 여러분이 제공한 정보가 많은 사람들에게 도움이 되었기를 바랍니다. 앞으로도 유익한 내용으로 찾아뵙기를 기대합니다. 감사합니다!
잇몸에서 피가 나는 이유 총정리
뉴 잡다지식 여러분들 오늘은 잇몸에서 피가 나는 이유에 대해서 알아보려고 하는데요. 잇몸 출혈은 흔히 치주염이나 잇몸 질환으로 인해 발생합니다. 구강 위생이 불량할 경우, 플라그가 쌓여
xpap.tistory.com
잇몸이 붓고 아플때 예방, 치료법 알아보기
뉴 잡다지식 여러분들 오늘은 잇몸이 붓고 아플때 예방, 치료법 에 대해서 알아보려고 하는데요. 잇몸은 우리몸에서 치아를 보호하여 주고 지탱하여 주기 때문에 매우 중요한 신체 일부 중 하나
xpap.tistory.com
잇몸에 좋은 음식 10가지 정리
뉴 잡다지식 여러분들 오늘은 잇몸에 좋은 음식 10가지에 대해서 정리를 해드리려고 하는데요. 요즘 다양한 원인으로 인해 잇몸이 좋지 못한 분들이 많습니다. 잇몸은 치아의 목부분부터 치아뿌
xpap.tistory.com
'건강정보' 카테고리의 다른 글
| 도꼬마리 효능 10가지, 부작용 정리 (0) | 2025.02.11 |
|---|---|
| 레티놀 효과, 부작용, 종류 알아보기 (0) | 2025.02.11 |
| 턱살 빼는법 알아보기 (1) | 2025.02.11 |
| 이중턱 없애는 방법 4가지 (0) | 2025.02.10 |
| 폐에 좋은 음식 10 가지 알아보기 (0) | 2025.02.06 |